Komplett tilbud til pasienter med prostatakreft
Kreftpasient Geir Iversen (54) fra Hammerfest sparer tid, penger – og får en sikrere diagnose – når UNN nå kan tilby PET-skanning til pasienter med prostatakreft. Som et av de første helseforetakene i landet har UNN nå tatt i bruk PET/MR og det nye sporstoffet PSMA, som gir et raskere og mer presist bilde av sykdomsomfanget.



– Dette betyr svært mye for meg. En PET-undersøkelse gir et klarere bilde av situasjonen. At dette nå kan gjøres på UNN betyr kortere reisetid, og for meg er det også viktig at vi får en slik kompetanse her oppe i nord, sier Geir Iversen.
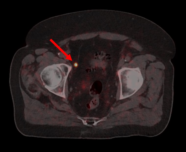
Han ligger i ei seng på det nye PET-senteret i Tromsø. For en time siden ble han injisert med det radioaktive sporstoffet PSMA (prostaspesifikt membranantigen), som nå sprer seg i kroppen. Om noen minutter skal han inn i PET/MR-maskinen. Bildene som tas vil vise om – og eventuelt hvor – det er økt opptak av det radioaktive stoffet i kroppen. Økt opptak kan indikere at kreftsykdommen har blusset opp igjen eller spredt seg.
LES OGSÅ: Først ut i det nye PET-senteret
Påvist kreft i fjor
Iversen fikk påvist prostatakreft i august i fjor, og ble operert ved UNN Tromsø to måneder senere. Det siste året har han gått til kontroll hver tredje måned, og på den siste kontrollen ble det påvist litt for høye verdier. Nå skal PET-skanninga vise om det er behov for mer behandling, kanskje stråling.
– Så langt har jeg ikke hatt noen store problemer eller smerter, og jeg håper det fortsetter slik, sier Iversen, som til daglig jobber som ingeniør for Equinor på Melkøya utenfor hjembyen Hammerfest.
Trond Bogsrud er overlege ved UNN. Han er svært fornøyd med at det nye sporstoffet PSMA nå er tatt i bruk, og at pasienter med prostatakreft får et fullverdig behandlingstilbud ved UNN.
– Vi kan nå gjøre et mye tryggere valg av behandling. Ved en PET-skanning kan vi stille en mye sikrere diagnose, og vi får bedre informasjon om sykdomsutbredelse. Er det spredning eller ikke? Er det et lokalt tilbakefall? Dette er vesentlige opplysninger som vi får et langt klarere svar på gjennom bruken av PET, sier Bogsrud.
Tidligere kun ved privatklinikk
PET-skanning har vært brukt ved ulike kreftformer i lang tid, også før det nye PET-senteret i Breivika ble åpnet av Trond Mohn 1. juni i år. Men PET-skanning av pasienter med prostatakreft får nå et betydelig løft gjennom det nye sportstoffet og den nye PET/MR-maskinen. Tidligere har pasienter i nord måtte reise til en privatklinikk i Oslo for å få undersøkelse med PSMA, men der har de ikke PET/MR.
– Å bli undersøkt på privatklinikk er kostbart. Det har derfor ofte blitt til at slike undersøkelser har blitt droppa, sier Bogsrud, som i tillegg til å jobbe ved UNN i Tromsø også jobber ved Århus universitetssykehus i Danmark, der PET-teknologien er svært utbredt.
- PET er en diagnostisk bildeundersøkelse som kan fremstille aktivitet i celler og vev. Den brukes først og fremst i utredningen og oppfølgingen av ulike krefttyper, men også ved epilepsi og bestemte former for demens, i tillegg til revmatiske sykdommer, hjertesyksommer og infeksjonssykdommer.
- PET benytter radioaktive isotoper som avgir positronstråling. Når positronene kolliderer med elektroner oppstår det glimt av gammastrålingsom etterhvert registreres som et bilde i PET-maskinen.
- Isotopene konsentreres i områder der celledeling og emnesomsetning skjer raskest, typisk tumorvev. PET er en funksjonsundersøkelse som påviser grad av sykdomsaktivitet med stor følsomhet.
Kilde: Store medisinske leksikon
LES OGSÅ: Fyller PET-senteret med kunnskap
UNN helt i front
At UNN nå har både PET/CT og PET/MR, og det nye sporstoffet PSMA, betyr at man kan gi et komplett undersøkelsestilbud til personer med prostatakreft. Vanlig MR kan også tilbys som en del av undersøkelsen.
– Jeg vil påstå at UNN nå er helt i front når det gjelder hvilke undersøkelser vi kan tilby personer med prostatakreft. Det at vi har både PET/CT- og PET/MR-maskin gjør at vi kan gjøre undersøkelser som utfyller hverandre svært godt. I tillegg har vi svært kompetente fagfolk, blant annet en egen MR-radiolog med spesialkompetanse på prostata, forklarer Bogsrud.
Bak de tykke veggene på PET-senteret får Geir Iversen beskjed om å gjøre seg klar. Den neste timen skal han ligge helt stille inne i PET/MR-maskinen.
– Jeg skulle selvsagt helst ha sluppet dette. Men prostatakreft er heldigvis en krefttype med gode prognoser, så jeg tror dette skal gå bra uansett hva denne undersøkelsen viser. Jeg er optimist, og den nye PET-teknologien gjør meg tryggere på at riktigere diagnose og riktig valg av behandlingsform blir valgt.